Здравствуйте, дорогие читатели! Сегодня мы поговорим о такой неприятной теме, как перелом берцовой кости. Проблема достаточно актуальная для любителей покататься на лыжах, сноубордах или скейтбордах. Но получить такую травму можно и повседневной жизни, например неудачно приземлившись на прямые ноги или просто споткнувшись и упасть на колени.
Перелом берцовой кости
Данные переломы можно разделить на два типа – переломы большой и малой берцовой кости. Эти два вида переломов очень разнятся между собой, поэтому рассмотрим каждый по отдельности. Для того, чтобы точно определить вид перелома, и есть ли он вообще, не достаточно консультации врача, так как необходим рентген, а возможно и несколько.
Врачи отмечают, что подходы к лечению переломов берцовой кости значительно различаются в России и за рубежом. В отечественной практике часто применяется консервативное лечение, включая иммобилизацию и физиотерапию, что может затягивать процесс восстановления. В то же время, в западных странах акцент делается на раннюю хирургическую интервенцию, что позволяет быстрее восстановить функцию конечности и сократить время реабилитации.
Специалисты подчеркивают, что в зарубежной медицине активно используются современные технологии, такие как минимально инвазивные операции и инновационные импланты, что способствует более точному и безопасному лечению. Кроме того, зарубежные клиники чаще предлагают комплексные программы реабилитации, включающие не только физическую терапию, но и психологическую поддержку, что также влияет на общий результат. Врачи считают, что интеграция лучших практик из международного опыта может значительно улучшить результаты лечения переломов берцовой кости в России.

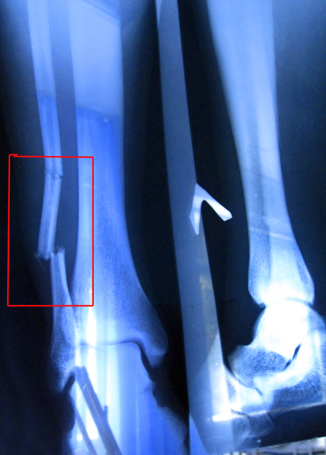
Большеберцовая кость
Большая берцовая кость состоит из бугристости, мыщелков и нижней части, соответственно и переломы этой кости бывают разными.
Бугристость на большой берцовой кости – выступ кости верхней части фронтальной поверхности, на которой расположены сухожилия. Соответственно при большой нагрузке или резком сокращении мышцы происходит отрыв. Если перелом бугристости со смещением, то она фиксируется винтом, а сухожилие сшивают. Нагрузка на голень ограничена в течении полугода. Если смещения нет, тогда достаточно наложить гипсовую повязку сроком до 1 месяца.
Перелом мыщелков берцовой кости может быть как одиночный, так и двойной. Такая травма является следствием приземления или падения на прямые ноги с большой высоты на голень. Проблематично и то, что такой перелом берцовой кости обусловлен кровоизлиянием из мыщелков в сустав колена. Лечение такого перелома при повреждении мыщелков производят путем наложения гипса, а также обезболивания. Процесс восстановления занимает от 1 до 2 месяцев. Если обнаружено смещение, то применяется специальная технология репозиции и процесс восстановления существенно затягивается.
Наиболее неприятным является открытый перелом нижней части большой берцовой кости. Лечение открытого перелома основывается на скелетном вытяжении. В случае неудачного лечения, необходимо применить остеосинтез (внутренний) при помощи винтов и пластин.
Малоберцовая кость
Перелом малой берцовой кости может быть обусловлен повреждением шейки и/или её головки. Достаточно редкий случай, и чаще всего встречается в совокупности с другими повреждениями голени. В таком случае пациент чувствует острую боль в коленном суставе, но ее функции почти не нарушаются. Критичным является то, что верхний отдел малой берцовой кости может вызвать осложнение, в связи с повреждением и нарушением работы малоберцового нерва. А это, в свою очередь, может вызвать серьёзные последствия, в плоть до потери функциональности повреждённой конечности.
Лечение такого вида перелома – консервативное, а вот для борьбы с возможными осложнениями может потребоваться оперативное вмешательство.
Перелом берцовой кости — это серьезная травма, требующая внимательного подхода к лечению. В России пациенты часто сталкиваются с длительными сроками ожидания операций и ограниченными возможностями для реабилитации. В то время как в зарубежных клиниках, особенно в странах с развитыми медицинскими системами, акцент делается на минимально инвазивные методы и современные технологии, что позволяет сократить время восстановления.
Многие пациенты отмечают, что в зарубежных медицинских учреждениях больше внимания уделяется индивидуальному подходу и комплексной реабилитации. Например, в некоторых странах активно применяются роботизированные системы для восстановления движений, что значительно ускоряет процесс. В России же, несмотря на наличие квалифицированных специалистов, часто не хватает ресурсов для внедрения таких инноваций.
Таким образом, различия в подходах к лечению переломов берцовой кости могут существенно влиять на качество жизни пациентов и скорость их возвращения к активной жизни.

Лечение и реабилитационные процедуры
Что касается реабилитации, то первоначально необходимо выдержать время, в течение которого максимально разгрузить поврежденную ногу. После этого необходимо постепенно начинать физические процедуры для и ЛФК, которые следует согласовывать с лечащим врачом.
Разница в лечении у нас и за рубежом
Теперь мне хотелось бы рассказать о различиях в лечении и восстановительных процедурах на территории нашей страны и за рубежом. Что касается спиц и шурупов, то они абсолютно одинаковые и изготавливаются из титана. А вот в плане наложения гипса, американцы превзошли наших специалистов. Вместо гипсовой повязки, при подобных переломах они используют специальный ботинок. Обувая на ногу, врач выкачивает из него воздух, что дает возможность плотного прижимания к ноге (тот же принцип, что и у ручного тонометра). Далее ботинок фиксируют при помощи липучек. Что же касается восстановительных процедур, то они не отличаются от наших, разве что более частыми консультациями с врачом.
Берегите себя и своё здоровье.

Вопрос-ответ
Какой лучший метод лечения перелома большеберцовой кости?
В настоящее время большинство хирургов используют интрамедуллярный метод лечения переломов большеберцовой кости. В ходе этой процедуры внутрь большеберцовой кости вводится специально разработанный металлический стержень (штифт). Штифт проходит через место перелома, фиксируя его в нужном положении. Для стабилизации штифта с обоих концов (сверху и снизу) используются винты.
Можно ли наступать на ногу при переломе берцовой кости?
Когда можно начинать полностью наступать на ногу после перелома большой берцовой кости? Сроки полной нагрузки зависят от тяжести перелома, возраста пациента, наличия осложнений и динамики заживления. Обычно врач разрешает переходить к частичной опоре спустя несколько недель после стабилизации перелома.
Какой перелом заживает дольше всего?
Сколько длится заживление переломов со смещением: закрытый единичный – от двух недель, множественный – около 1,5 месяцев, открытый – более двух месяцев.
Какой нехирургический способ лечения перелома?
Независимо от необходимости хирургического вмешательства, заживление любого перелома происходит благодаря иммобилизации кости и предоставлению ей времени для срастания и укрепления. Это можно сделать с помощью ортезного ботинка, шины, гипсовой повязки или ортезного бандажа. Специалист по спортивной медицине вместе с вами определит наиболее подходящий метод лечения вашего перелома.
Советы
СОВЕТ №1
Изучите методы лечения перелома берцовой кости в разных странах. Обратите внимание на современные технологии и подходы, которые могут быть доступны за границей, такие как минимально инвазивные операции или новые методы реабилитации.
СОВЕТ №2
Проконсультируйтесь с несколькими специалистами. Не ограничивайтесь мнением одного врача, особенно если планируете лечение за границей. Разные специалисты могут предложить различные подходы и рекомендации.
СОВЕТ №3
Узнайте о возможностях медицинского туризма. Если вас интересует лечение за границей, исследуйте программы медицинского туризма, которые могут предложить комплексные пакеты, включая лечение, проживание и транспорт.
СОВЕТ №4
Обратите внимание на реабилитацию. Лечение перелома — это не только операция, но и восстановление. Изучите программы реабилитации как в вашей стране, так и за границей, чтобы выбрать наиболее эффективные методы восстановления.



