Пальцы человека — это те органы тела, которые не относятся к жизненно важным, однако, значительно упрощают нашу жизнь. Особенно это касается пальцев на руках. В медицинской практике переломы фаланг пальцев не особо распространены и случаются, как правило, в результате бытовых травм.
Признаки перелома фаланг пальца
Сразу следует уточнить, что каждый палец человека, кроме большого, состоит из трёх фаланг (косточек трубчатой формы), которые соединены между собой суставами. При переломе одной из фаланг у больного чётко прослеживается следующая симптоматика:
- очень сильные болевые ощущения в области пальца, иногда всей кисти. Как правило, боль при таких повреждениях носит комбинированный, ноюще-пульсирующий характер;
- внешние изменения. При переломе даже одной фаланги часто наблюдается отёк всего пальца. Его кожа может изменить цвет, а температура слегка повыситься. При переломе со смещением может измениться даже его длина;
- снижение функциональности повреждённого органа. Палец со сломанной фалангой не способен сгибаться и разгибаться как обычно, а любое движение им вызывает сильную боль. Особенно это чувствуется при разгибании.
Врачи отмечают, что перелом фаланги пальца часто сопровождается характерными симптомами, такими как резкая боль, отек и ограничение подвижности. При подозрении на травму важно провести тщательную диагностику, которая может включать рентгенографию для определения степени повреждения. В зависимости от типа и тяжести перелома, лечение может варьироваться от консервативного подхода, включающего иммобилизацию с помощью шины, до хирургического вмешательства в более сложных случаях. Врачи подчеркивают важность своевременного обращения за медицинской помощью, так как неправильное лечение может привести к долгосрочным последствиям, включая деформацию и хроническую боль. Реабилитация также играет ключевую роль в восстановлении функции пальца, и специалисты рекомендуют выполнять специальные упражнения после снятия гипса для восстановления подвижности.

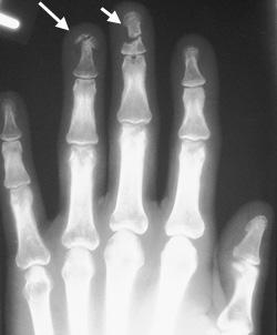
Диагностика перелома фаланги
Как ни странно, но на основании обычного осмотра достаточно сложно установить обычный перелом фаланги пальца без смещения даже весьма опытному хирургу. Дело в том, что все описанные выше симптомы могут возникнуть и при сильном ушибе и при вывихе одного из межфаланговых суставов. Единственным способом на 100% разобраться в ситуации и поставить верный диагноз является проведение рентгенологического исследования.
Перелом фаланги пальца — это распространенная травма, часто возникающая в результате падений или ударов. Люди, столкнувшиеся с этой проблемой, отмечают резкую боль, отек и ограничение подвижности. Важно сразу обратиться к врачу, так как неправильное лечение может привести к осложнениям. Диагностика обычно включает рентгенографию, которая позволяет точно определить степень повреждения. Лечение может варьироваться от иммобилизации с помощью шины до хирургического вмешательства в более сложных случаях. Реабилитация также играет ключевую роль: упражнения на восстановление подвижности помогают вернуть пальцу функциональность. Многие пациенты подчеркивают важность своевременного обращения за медицинской помощью и следования рекомендациям врача для успешного выздоровления.
Методы лечения перелома фаланги пальца
Как и при любых других переломах, все мероприятия по лечению сломанной фаланги направлены на то, чтобы помочь ей правильно и как можно быстрее срастись. Для этого палец необходимо надёжно зафиксировать в выравненном положении и обеспечить ему полную неподвижность. Осуществить это возможно по средствам наложения гипса, фиксирующего ортеза, либо специальной полимерной повязки. Как правило, в первые несколько дней после перелома, пациенту может быть назначено лёгкое болеутоляющее. Так же возможно назначение всевозможных кальцийсодержащих препаратов, которые способны посодействовать быстрейшей регенерации костной ткани.
Значительно сложнее и врачу и пациенту придётся в том случае, когда диагностирован перелом фаланги со смещение. В такой ситуации следует вначале вернуть части поломанной кости в нужное положение и только потом фиксировать сам палец. Осуществляется данная медицинская процедура хирургом с использованием местного наркоза.
В случае, когда перелом фаланги со смещением привёл к травмированию ближайших органов (сухожилий, суставов) и физиологическому изменению строения пальца, единственное правильное решение — это проведение оперативного вмешательства. Осуществляется оно под местным наркозом. Врач во время операции возвращает обломки кости в правильное положение и проводит санацию близ лежащих органов и тканей. По окончании данной медицинской манипуляции повреждённый орган фиксируется с помощью ортеза. Другие варианты фиксации в данном случае не подойдут. Дело в том, что в послеоперационный период место разреза будет необходимо обрабатывать и наблюдать, а именно с помощью ортеза возможно и надёжно зафиксировать поломанный орган и иметь доступ к некоторым его частям. На протяжении нескольких дней после оперативного вмешательства пациенту, на ряду с обезболивающими препаратами, нередко назначают ещё и курс антибиотиков.

Вопрос-ответ
Как отличить ушиб фаланги пальца от перелома?
Но есть определенные признаки, которые помогут определить перелом пальца без рентгена: отечность ткани и размеры гематомы. Если был ушиб пальца, то синяки и отеки могут появиться даже на следующие сутки, а при переломе сильная отечность и гематомы появляются буквально за несколько минут.

Как определить, сломана ли кость или просто ушиб?
При ушибе повреждаются только мягкие ткани, при переломе страдает сама кость. Ушиб обычно сопровождается умеренной болью и сохранением подвижности конечности. Перелом вызывает резкую боль, деформацию конечности, ограничение или полную невозможность движения.
Советы
СОВЕТ №1
При подозрении на перелом фаланги пальца, немедленно обратитесь к врачу. Не стоит откладывать визит, так как своевременная диагностика и лечение помогут избежать осложнений и ускорят процесс восстановления.
СОВЕТ №2
Если у вас возникли сильные боли и отек в области пальца, попробуйте приложить холодный компресс. Это поможет уменьшить отек и облегчить боль до момента обращения к специалисту.
СОВЕТ №3
Следуйте указаниям врача по реабилитации после лечения. Упражнения для укрепления мышц и суставов пальца помогут восстановить его функциональность и предотвратить повторные травмы.
СОВЕТ №4
Обратите внимание на защиту рук при занятиях спортом или выполнении физических работ. Используйте защитные перчатки и специальные накладки, чтобы снизить риск травм в будущем.

