Травма головы это всегда опасно, но наибольшую опасность для человека представляет субдуральная (наиболее распространенная) или эпидуральная гематома (диагностируемая в 1-2% случаев от общего количества травм). Опасность данных гематом заключается в сдавливании головного мозга, в результате чего могут возникнуть осложнения с психикой больного, а в особо критичных случаях возможен летальный итог.
Где скрывается опасность?
Как правило, при травме головы происходит сотрясение головного мозга, однако в случае разрыва венозных или артериальных сосудов могут развиться субдуральные и эпидуральные гематомы, отличающиеся друг от друга характером сдавливания головного мозга и локализацией.
Возникновение кровоподтека почти всегда связано с травмой головы, а характер ее получения может быть отличный, так субдуральная или эпидуральная гематома возникает вследствие:
- Удар тупым предметом в область черепа, приводит к вдавливанию или перелому костей черепной коробки, в результате может произойти разрыв венозных или артериальных сосудов, что приведет к кровоизлиянию.
- Удар головой в процессе падения с движущегося транспортного средства, выпадения из окна и тп, которое также сопровождается вдавливанием костей черепа приводит к аналогичным последствиям.
Врачи отмечают, что как субдуральная, так и эпидуральная гематома представляют собой серьезные состояния, требующие неотложной медицинской помощи. Субдуральная гематома, возникающая в результате разрыва вен, часто развивается медленно и может проявляться симптомами через несколько дней после травмы. Это делает её особенно опасной, так как пациент может не сразу осознать серьезность своего состояния. Эпидуральная гематома, напротив, обычно возникает в результате травмы, приводящей к разрыву артерии, и симптомы могут проявиться внезапно, что требует немедленного вмешательства. Врачи подчеркивают, что эпидуральная гематома, как правило, более острое состояние, но субдуральная может быть более коварной из-за своей скрытой природы. Оба типа гематом требуют тщательной диагностики и индивидуального подхода к лечению.

Субдуральная
Наиболее распространенная форма. Субдуральная гематома головного мозга характеризуется возможностью затрагивать несколько участков головного мозга, как правильно локализуется между паутинной оболочкой мозга и твердой. В большинстве процентов случаев возникает в результате разрыва венозных сосудов головы, в частности при разрыве мостиковых вен.
Мостиковые вены соединяют твердую мозговую оболочку с мягкой.
Классификация:
- острая;
- подострая;
- хроническая.
Острая – возникает в первые несколько часов после травмы.
Подострая – проявляется через несколько дней (не позднее 2 недель).
Хроническая – дает о себе знать через несколько недель.
Если в случае с острым типом основной причиной является первичное кровоизлияние, то подострая субдуральная гематома или же хроническая могут возникать при вторичном кровоизлиянии.
Кроме того, существует опасность развития обратного кровоизлияния, которое представляет собой кровоподтек, образовавшийся на противоположной от места удара стороне.
Эпидуральная
Эпидуральная гематома возникает вследствие травмы головы, однако в данном случае происходит вдавливание костей черепа, что и объясняет локализацию кровоподтека. В отличие от субдуральной она практически всегда образовывается в месте удара, а не с противоположной стороны.
Помимо местной, эпидуральная гематома головного места может быть общей – то есть затрагивать несколько отделов мозга.
Классификация:
- острая;
- подострая.
Хронического течения данной болезни не отмечалось.
Как правило, гематома образуется вследствие кровотечения из средней менингеальной артерии (в большинстве случаев) или из передней решетчатой атерии, поэтому локализация отмечается в височной и лобной долях головного мозга. Кровь же скапливается между черепной коробкой и твердой мозговой оболочкой.
Средняя менингеальная артерия – самый крупный кровеносный сосуд, который отходит от верхнечелюстной артерии
Передняя решетчатая артерия – одна из артерий глазного отдела
Данной гематоме подвержены чаще взрослые люди, так как у маленьких детей имеются особенности строения черепной коробки, которые физически не позволят произойти подобному кровоизлиянию.
Объем скапливающейся крови, в среднем составляет от 40 до 200 мл, диаметр, как правило – 7-8 мм.
Субдуральная и эпидуральная гематомы — это два типа кровоизлияний в области головы, и мнения о том, что из них опаснее, часто расходятся. Врачи подчеркивают, что субдуральная гематома, как правило, развивается медленнее и может проявляться через несколько дней после травмы, что затрудняет диагностику. Она чаще встречается у пожилых людей и может привести к серьезным последствиям, если не будет вовремя обнаружена. Эпидуральная гематома, напротив, возникает внезапно и обычно связана с травмой головы, часто сопровождающейся потерей сознания. Несмотря на то, что она может быть более предсказуемой в плане симптомов, быстрое развитие может привести к критическим состояниям. Важно помнить, что обе формы требуют незамедлительного медицинского вмешательства, и их опасность зависит от множества факторов, включая скорость диагностики и лечения.

Характерные симптомы
Субдуральные и эпидуральные гематомы имеют некоторое различие в симптомах проявления. Самое основное, это наличие и длительность, так называемого «светлого» периода после получения травмы. При эпидуральной гематоме головного мозга присутствует такой период, после чего происходит постепенная либо мгновенная утрата сознания. Субдуральная гематома головного мозга, в свою очередь характеризуется последовательно увеличивающейся головной болью и нарастанием беспокойности человека.
Общие симптомы, свидетельствующие о наличии гематомы:
- головокружение;
- головная боль;
- слабость;
- потеря памяти (кратковременна либо долговременная);
- рвота;
- потеря сознания;
- коматозное состояние;
- повышение артериального давления;
- возбужденное состояние.
Кроме того, для субдуральная гематома головного мозга характеризуется следующими признаками:
- невнятная речь;
- паралич;
- ухудшение или потеря зрения;
- судороги;
- слабость в конечностях;
- онемение.
К тому же эпидуральные гематомы, также имеют симптомы, характерные только для данного вида, например – расширение зрачка и опущение века, на той стороне, где диагностирована гематома. На противоположной стороне отмечается мышечная слабость или пирамидальная недостаточность.
Пирамидальная недостаточность – нарушение пирамидальных клеток пятого слоя коры головного мозга. Проявляется в гипертонусе мышц, частичном или полном параличе частей тела, судорогами, снижении рефлекторной деятельности.
Пора определиться, что за гематома…
Так как эпидуральная гематома головного мозга возникает вследствие травмы головы, невозможно предсказать какой объем крови находится в гематоме, поэтому обязательно назначают рентгенографию головы.
Кроме того, для того чтобы определить какая именно гематома у человека назначают компьютерную томографию (КТ) или магнитно-резонансную томографию (МРТ), так как по общеклиническим симптомам поставить верный диагноз нельзя.
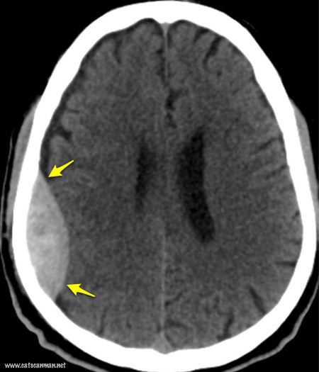
При проведении КТ и МРТ исследований врачу будет ясна полная картина происходящего. Чаще, эпидуральные гематомы на снимке, полученной при КТ образуют двояковыгнутую линзу, притом как субдуральные – серп. Причем неважно какой вид – подострая субдуральная гематома или острая, в любом случае будет серп.
Кроме того, специалист назначает стандартный набор анализов:
- общий анализ крови;
- биохимический анализ крови;
- анализ мочи.
К примеру, наличие пониженного содержания эритроцитов в крови больного – указывает на потерю крови, и чем их меньше, тем больше гематома.
Также, доктор обязан проверить сердцебиение больного и его давление, что поможет установить или опровергнуть наличие внутреннего кровотечения из артерии.
Кроме того, в качестве дополнительной диагностики может выступать офтальмоскопия, в процессе которой доктор анализирует глазное дно пациента и наличие там частичной атрофии зрительных нервов.
Без интенсивной терапии не обойтись…
Неважно, эпидуральная или субдуральная гематома для ее устранения показано хирургическое вмешательство.
Безоперационное лечение возможно, однако не всем оно показано. Кому назначают консервативное лечение:
- Больным с гематомой менее 5 мм в диаметре, увеличение которых не отмечено.
- Пациентам, пребывающим в коме, при условии, что объем гематомы не превышает 40 мм в диаметре.
Во всех остальных случаях – хирургическое вмешательство.
Консервативное лечение заключается в приеме больным следующих препаратов:
- кровоостанавливающие;
- мочегонные;
- препараты, способствующие рассасыванию кровоподтека.
В случае ухудшения состояния больного, лечение прекращают и проводят операцию.
Операция по удалению кровоподтека в головном мозгу заключается в:
- проведение трепанации черепа (вскрытии черепной коробки);
- удаление (отсос) непосредственно гематомы;
- поиск источника кровотечения;
- купирование данного источника;
- зашивание раны..
В крайне тяжелых случаях возможно удаление части головного мозга при проведении оперативного вмешательства.
К сожалению, головной мозг имеет сложную структуру, и не всегда получается отыскать все источники кровотечения, поэтому возможно повторное кровоизлияние, а значит и повторная операция.
Успех проведенного вмешательства зависит от многих факторов, в том числе от остроты течения болезни, к примеру, хроническая гематома головного мозга имеет более благоприятные прогнозы, чем острая.
После оперативного вмешательства больному назначают поддерживающую терапию.
Что дальше?
Несомненно при таком серьезном недуге имеются последствия или осложнения, однако не всегда.
К примеру, при хроническом течении болезни и своевременном и правильном лечении последствий можно избежать вообще, но чем острее проходило заболевание, тем ярче будут последствия.

Так, для людей, перенесших данный недуг характерно:
- судорожный синдром;
- параличи конечностей;
- слабость в мышцах;
- кома или смерть.
Причем летальный итог возможен после проведения оперативного вмешательства, в случае если было упущено достаточное количество времени.
Итак, так как субдуральная или эпидуральная гематома возникает вследствие ударов по голове, ДТП или т.п., не стоит халатно относиться к своему здоровью и отказываться от осмотра специалиста. Возможно, легкое головокружение после падения и не будет являться гематомой мозга, но проверить это стоит, так как неизвестно, как себя проявит болезнь в будущем.
Вопрос-ответ
Какая гематома самая опасная?
Самой опасной гематомой считается эпидуральная гематома, так как она возникает между черепом и твердой оболочкой мозга, часто в результате травмы головы. Эта гематома может быстро увеличиваться, вызывая сжатие мозга и приводя к серьезным неврологическим последствиям или смерти, если не будет своевременно диагностирована и удалена хирургическим путем.
Почему эпидуральная гематома хуже субдуральной?
Поскольку эпидуральные гематомы обычно затрагивают артерию, кровотечение и повышение внутричерепного давления могут возникнуть гораздо быстрее, требуя более срочного вмешательства. Напротив, хотя и остаются серьезными, субдуральные гематомы затрагивают вены, которые, как правило, кровоточат и растут медленнее.
Чем отличается эпидуральная гематома от субдуральной?
Скопление крови в головном мозге. В результате кровь может скапливаться между черепом и внешней мозговой оболочкой. Такое скопление крови называется эпидуральной гематомой. В других случаях кровь скапливается между тканями внешней и средней мозговой оболочки. Такое скопление крови называется субдуральной гематомой.
Чем опасна субдуральная гематома?
Травмы головы опасны и могут вызвать серьезные медицинские проблемы. Субдуральная гематома является одной из них из-за сильной травмы головы. Она может привести пациента к коме или даже смерти.
Советы
СОВЕТ №1
При подозрении на гематому головы, немедленно обратитесь к врачу. Симптомы, такие как головная боль, спутанность сознания или потеря сознания, требуют срочной медицинской помощи.
СОВЕТ №2
Изучите различия между субдуральной и эпидуральной гематомой. Понимание этих различий поможет вам лучше оценить ситуацию и принять обоснованные решения о лечении.
СОВЕТ №3
Не игнорируйте профилактику травм головы. Используйте защитные шлемы при занятиях спортом и соблюдайте осторожность в повседневной жизни, чтобы снизить риск получения черепно-мозговых травм.
СОВЕТ №4
Если у вас уже была травма головы, регулярно проходите медицинские обследования. Это поможет выявить возможные осложнения, такие как гематомы, на ранних стадиях.






